General Description:
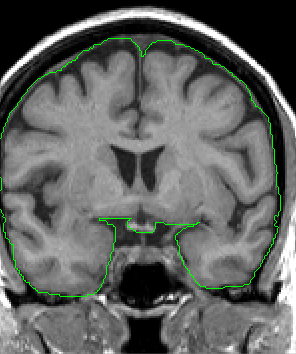
The Intracranial Cavity includes the whole brain volume (all brainstem, infundibular and pituitary, cerebellar, subcortical, and cerebral parenchyma) and total intracranial CSF (all CSF in ventricular and subarachnoid spaces).
Before beginning, brighten the scan to a degree where you can distinguish CSF from similarly colored bone or dura.

When segmenting, make frequent reference to other views to determine if an area is CSF or not.
Excluded from ICC: skull,
  subcutaneous and orbital fat, mastoid and nasal sinuses, dural venous
  sinuses, larger blood vessles beyond the surface of the brain, bony
  protuberances (i.e., dorsum sellae), and cranial nerve roots, since
  they extend beyond the surface of the brain.
  
For each slice, the general procedure
  to outline the ICC is to load the automated ICC result from the 3D mask by
  pressing 'm', un-extracting it with
  'W', then to draw 'd'
  and erase 'q' to make any necessary
corrections, and finally save the outline.
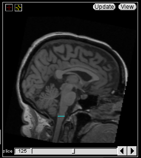
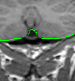
In the Sagittal view, locate the Obex on the Brainstem. Select the 'ignored contour' (e.g. the cyan color) and draw a horizontal line from this point to the anterior most part on the brainstem.

This line will appear as a cyan dot in the Coronal view and mark the inferior boundary of the brainstem.
Save the contour file (in the File menu, choose Save, then Save Contour. It will be saved in the Data/{pid}/{scan}/otl directory: icc_contour.buchar and icc_contour.hdr.
Turn the automatically generated outline into a contour by un-extracting it with 'W'. Then draw 'd' and erase 'q' to make any necessary corrections, and finally save the outline. The basic idea is to obtain an outline that includes all CSF and excludes bone. Compact bone is very dark but the marrow inside the bone will be anywhere from gray to very bright.
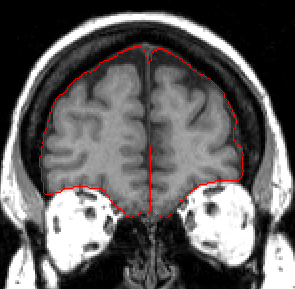
In the anterior portion of the ICC, using either the outline provided by the automation or a contour you generate, extract outlines that include all visible Cortex as well as all surrounding CSF. Draw a line to divide the ICC into left and right hemispheres and then extract each side separetely.

Take care to exclude all dura mater and sinuses.
Moving posteriorly, take care to exclude the Superior Sagittal Sinus, as it is often included by the automation.
 
 
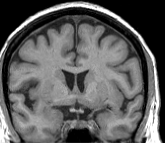
In the middle portion of the ICC, continue extracting all Cortex and CSF, but be aware of and exclude all veins, cranial nerve roots, and bony protuberances that appear, particularly as the brainstem appears.
 
 
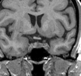
Proceeding posteriorly, extract all Cerebellum and surrounding CSF. Take care to exclude the sinuses surrounding it.
 
  
 