Segmentation: Amygdala
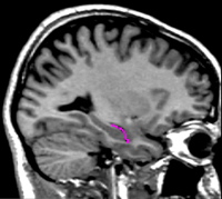
| General Description The amygdala is located in the medial temporal lobe. It has a rounded shape and is situated anterior and superior to the hippocampus. Anteriorly, the amygdala borders the entorhinal/perirhinal temporopolar cortex. Superiorly, it borders the basal forebrain and the choroidal fissure. Medially, the amygdala borders the entorhinal cortex (in its anterior most tip) as well as the subarachnoid CSF of the medial temporal surface. Its lateral borders are the temporal horn of the lateral ventricle as well as (more rostrally) the white matter core of the temporal pole. Inferiorly, it borders with the entorhinal cortex (PHa), and more posteriorly, the hippocampus. Its caudal border is the hippocampus. | |
|  | Procedure Sulci Lines  | 
|  | Continue to scroll the sagittal image medially. As you do, the size of the ILV will decrease, and the grayness of the amygdala will become more pronounced. When the ILV is very thin, and the amygdala and hippocampus look as if they will touch soon, draw a sulci line from the superior to the inferior border of the ILV, right in the middle of the ventricle, separating the hippocampus from the amygdala. Continue to move medially, and continue to draw sulci lines bisecting the ILV. Draw sulci lines only on slices where you can see the border between the hippocampus and the amygdala. | 
|  | As you move more medially, this differentiation will be difficult to see. There are two clues you can use to guide you as you draw these lines. First, the ILV will appear as dark pixels. You will most likely see part of the ILV superior to the hippocampus. You should also see a very tiny dark dot at the inferior-anterior border of the hippocampus. This is part of the ILV, specifically its anterior-most tip. Using the general shape of the ILV you observed in more lateral sagittal views, draw a sulci line from the most superior part of the ILV you can see to its anterior-most tip. A second clue to the division between the hippocampus and amygdala is that the superior border of the hippocampus includes the fimbria. This will appear as a white line just below the ILV. If this can be seen, it can be used as a guide; draw your sulci line along the black pixels that are above this white line. | 
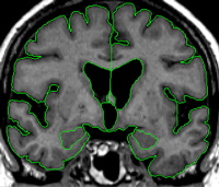
|  | Drawing lines around the amygdala in the axial view (particularly inferiorly) and sagittal (also inferiorly) will help with the shape of the anterior amygdala in the coronal view. 
 | 
|  | |
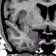
| Segmentation  Part I - Anterior portion of the amygdala  The second slice of the amygdala should be segmented using the same methodology. The only difference is that the amygdala may touch the cortex on this slice. Also, it may be possible to see the lateral extent of the amygdala on this slice. If that is the case, use a contour line to accurately capture this border of the amygdala. | |
|  |  | 
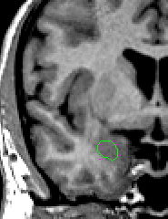
|  | Part II - Medial portion of the amygdala As you move posteriorly, the amygdala becomes easier to visualize. Use a contour line to give the general outline of the amygdala, then check the other views available to you to confirm this outline. When the amygdala is in its full extent, it is fairly easy to see in the coronal view. Remember that the amygdala has a very small wave that crests over the choroidal fissure. Refer to an atlas to see this wave more clearly. Alter the brightness of the screen so that you can adequately see the strip of white matter that separates the amygdala from the cortical areas. | 
| Part III - Hippocampus appears When the ILV is first visible, it is likely that the hippocampus is present; check for your hippocampal sulci lines as well. To segment the amygdala in this area, use a contour line to define the hip-amyg area. Call up your sulci lines. Depending on the brain, you will see darker pixels that represent the ILV, or lighter pixels that represent the fimbria of the hippocampus (or both) along your sulci lines. If possible, draw a line separating the amygdala from the hippocampus along the dark pixels of ILV. Try increasing the contrast between black and white to better see this division. If after manipulating the brightness/contrast this line is not visible, draw a line that bisects your sulci lines. Then use projection lines to verify that your line really is the division between the hippocampus and the amygdala. When you are satisfied, unextract the hip-amyg outline, and extract the top portion as amygdala. | |
| Part IV - Posterior portion of the amygdala  Labeling  | |
© 2005 Neuromorphometrics, Inc. All rights reserved.