General Description
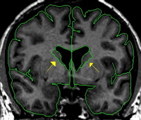
|  | The caudate is a C-shaped structure with an enlarged head deep in the frontal lobe and an increasingly attenuated body and tail which follow the lateral ventricle around into the temporal lobe. We do not consider the tail of the caudate in the CMA method. In the coronal view the caudate appears lateral to the lateral ventricles in each hemisphere. The caudate begins very small and reaches its largest extent in the early to mid region and grows smaller as you travel more posterior until it finally disappears. The caudate is bordered inferiorly by white matter, the thalamus (when present), or the nucleus accumbens (when present). The caudate is bordered superiorly by the transverse fibers, or white matter. Laterally, the caudate is bordered by white matter. The medial border is the lateral ventricle. | 
| Procedure Segmentation  
 Anteriorly, there is some partial voluming, so care should be taken not to overestimate the caudate. Projection lines should be used to determine the true extent of the caudate | |
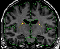
| Part II - Posterior portion of the caudate | |
|  | Posteriorly, it is often difficult to get a useful histogram, so intensity contour can be employed. 
 
 | 
Labeling 
This outline should be labeled as "caudate."
© 2005 Neuromorphometrics, Inc. All rights reserved.