General Description
  The fourth ventricle is located between the brainstem and the cerebellum. Its
    anterior border is the brainstem. Laterally and posteriorly it is bordered
    by the cerebellum. Its posterior border (above the cerebellum) is the midbrain
    tectum (superior and inferior colliculi). The cerebral aqueduct in included
    as part of the fourth ventricle.
Segmentation Procedure
  The histogram function is usually recommended for extraction of the fourth
    ventricle. Depending on which region of the fourth ventricle you are looking
    at, the box drawn for your histogram will contain CSF from the ventricle
    and either cerebellar white matter, cerebellum gray matter, brain stem, or
    some combination thereof. The intensity contour method and manual drawing
    are also employed.
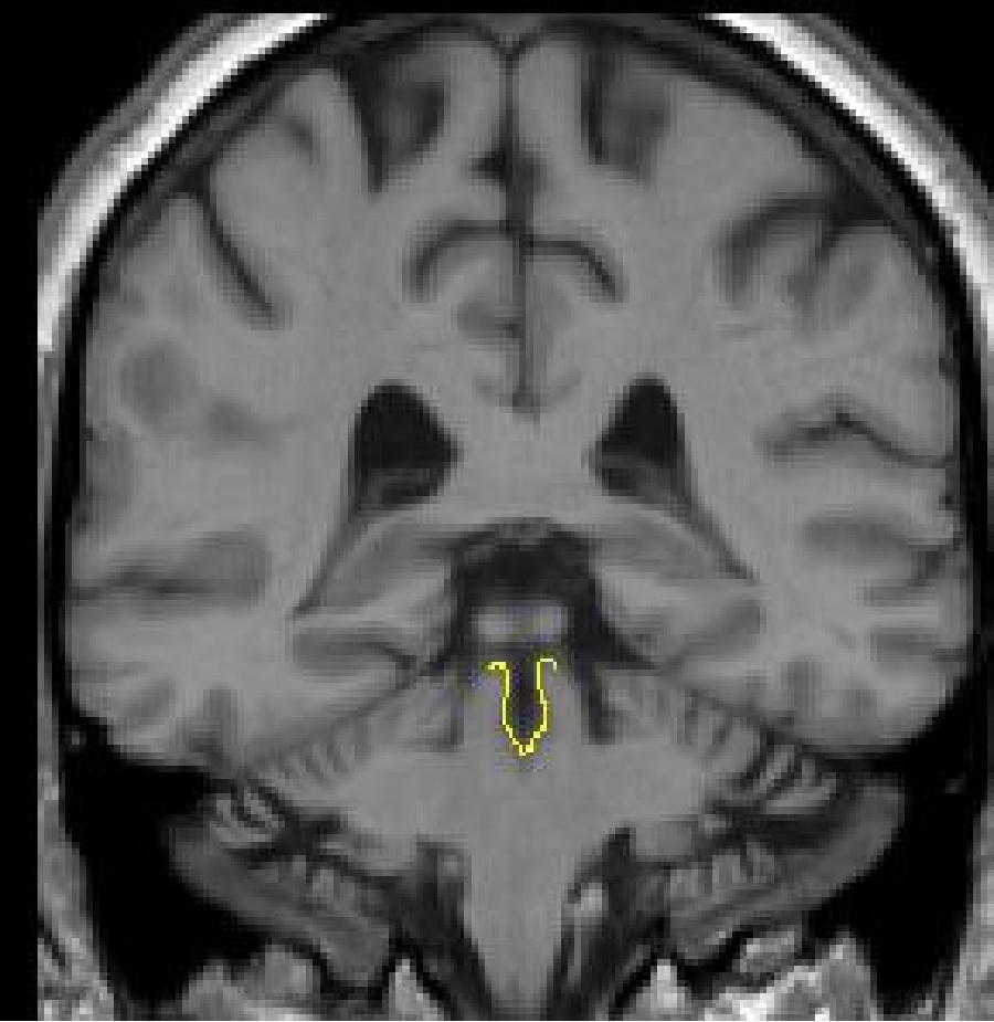
 Part
    I - cerebral aqueduct
Part
    I - cerebral aqueduct
  The aqueduct first appears just under the posterior commissure. A histogram
  should be taken between the CSF of the aqueduct and the brainstem. However,
  because there is so much partial voluming in this area, the histogram will
  likely be modified using an intensity contour line. The dorsal border of the
  fourth ventricle will have to be drawn manually. Continue to use a histogram
  for the remainder of the aqueduct, modifying as necessary with the intensity
  contour function.

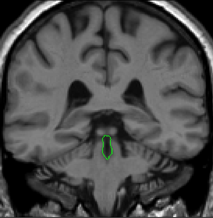
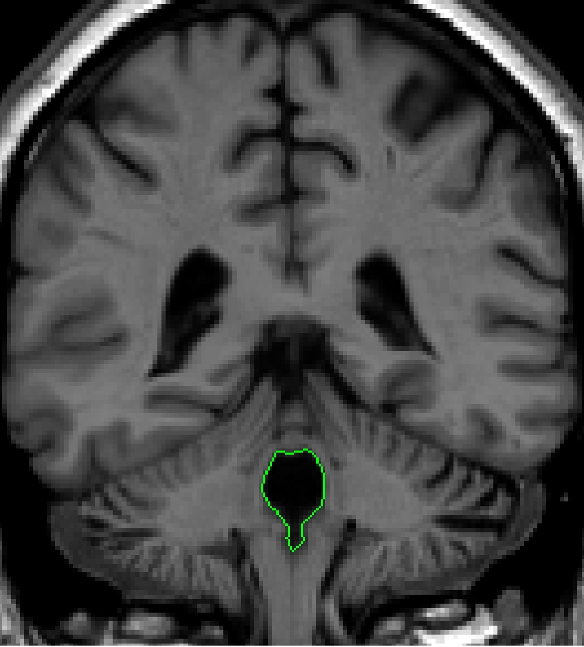
    Part II - fourth ventricle in the brainstem
  As you move posteriorly, you will begin to see the actual beginning of the
  fourth ventricle. The small circle that is the aqueduct will begin to elongate.
  Continue to use the histogram method; draw your box between the CSF of the
  fourth ventricle and the surrounding brainstem tissue. Modify as necessary
  with the intensity contour function. As the fourth ventricle continues posteriorly,
  it will start to widen. A histogram should be taken between the CSF of the
  fourth ventricle and the surrounding brainstem tissue. Often this histogram
  will not yield the dorsal border of the 4th 
 ventricle.
  Brightening the screen will enable you to see this border. It should be drawn
  in using the draw function, and then attached to the contour given by your
  histogram.
ventricle.
  Brightening the screen will enable you to see this border. It should be drawn
  in using the draw function, and then attached to the contour given by your
  histogram. 
Part III – fourth ventricle in the brainstem and cerebellum
 As
    the 4th ventricle is surrounded by cerebellum white matter, multiple histograms
    will yield the most accurate fit. Generate a histogram from a box containing
    CSF of the fourth ventricle and the cerebellum white matter. The only part
    of the contour that you want is that between the cerebellar white matter
    and the CSF of the fourth ventricle. Now generate the rest of the outline
    with the histogram method.
As
    the 4th ventricle is surrounded by cerebellum white matter, multiple histograms
    will yield the most accurate fit. Generate a histogram from a box containing
    CSF of the fourth ventricle and the cerebellum white matter. The only part
    of the contour that you want is that between the cerebellar white matter
    and the CSF of the fourth ventricle. Now generate the rest of the outline
    with the histogram method.
  The box for your second histogram should contain equal amounts of CSF from
  the fourth ventricle and the brainstem. The generated contour will accurately
  define the border between the fourth ventricle and the brainstem.
Part IV - fourth ventricle in the cerebellum
     When
    the fourth ventricle is no longer surrounded by brainstem, it appears between
    cerebellum gray and white matter. Two histograms should be used for this
    outline: one between the CSF and the cerebellum white matter, and the second
    between the CSF and cerebellum gray matter.
When
    the fourth ventricle is no longer surrounded by brainstem, it appears between
    cerebellum gray and white matter. Two histograms should be used for this
    outline: one between the CSF and the cerebellum white matter, and the second
    between the CSF and cerebellum gray matter.
  In its most posterior extent, the fourth ventricle will appear as two separate
  circles in each cerebellar hemisphere. The most accurate means to extract these
  structures is to do two separate histograms for each cerebellar hemispheres
  (CSF - white matter; CSF - gray matter). As with the most anterior extend of
  the 4th ventricle, modifying this 
estimate with the contour line may be necessary.

    Labeling
  Both the cerebral aqueduct and fourth ventricle are labeled as "fourth
  ventricle.      


  ©
2005 Neuromorphometrics, Inc. All rights reserved.