General Description
  The lateral ventricles are bilateral C-shaped structures that extend through
    all four lobes of the brain. They are filled with cerebral spinal fluid (CSF),
    and for this reason appear black on the MRI scan. There are five different
    parts to each lateral ventricle: the anterior horn (in the frontal lobe),
    the body (in the frontal and parietal lobes), the posterior horn (extending
    in the occipital lobe), the inferior horn (in the temporal lobes), and the
    atrium (where the body, inferior horn, and posterior horn meet).
  For the purposes of segmentation, we consider all parts except for the inferior
  horn as lateral ventricle. The inferior horn is labeled as "inferior lateral
  ventricle" and its method of extraction is described elsewhere.
The lateral ventricles are bordered anteriorly by white matter. As you move posteriorly, the lateral wall of the ventricle is bordered by the caudate, and medially by white matter. Moving posteriorly, the lateral ventricles may appear as if they are connected along the midline. They are actually separated by the septum pellucidum. At this point the bottom wall of the lateral ventricle is bordered by thalamus. As you continue to move posteriorly towards the atrium, the thalamus no longer borders the ventricle; hippocampus becomes the medial border. Caudate still comprises the medial border of the ventricle, but it is difficult to visualize on the MRI scan. As you move past the atrium, the lateral ventricle is surrounded by white matter.
Segmentation Procedure
The histogram method is used to create outlines for the lateral ventricles. One histogram is needed to determine the CSF/white matter border, and another is used to define the CSF/gray matter border. A separate circle and histogram should be generated for each ventricle.
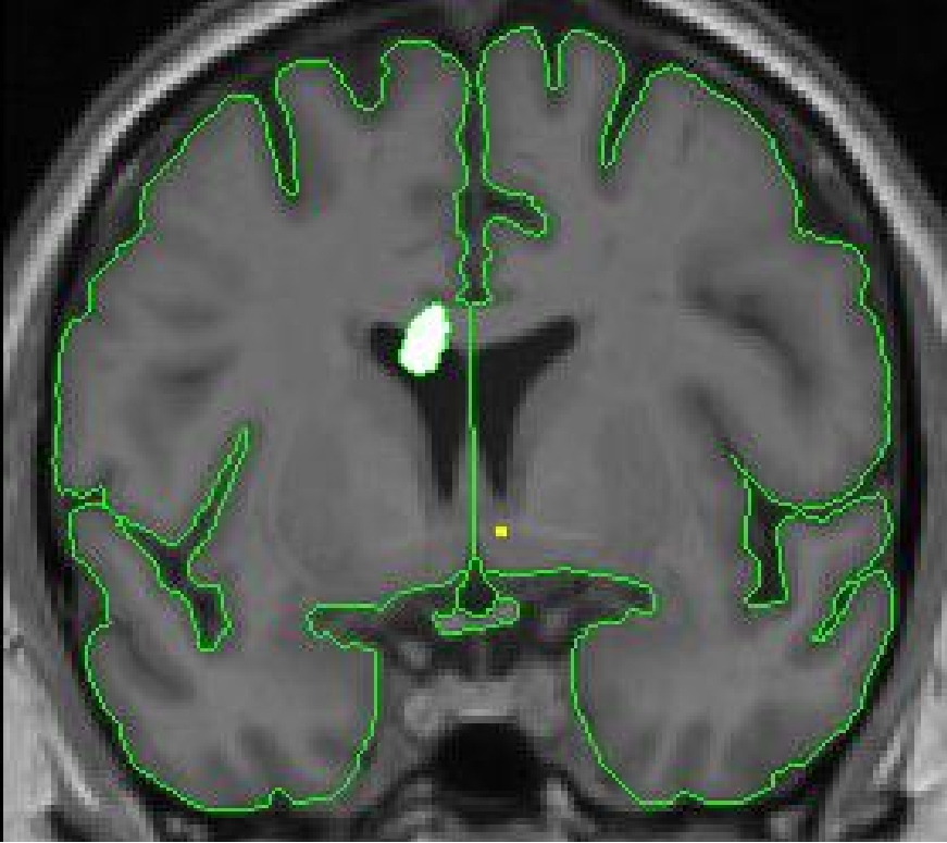
 Part
    I – Anterior portion of lateral ventricles
Part
    I – Anterior portion of lateral ventricles
           
         
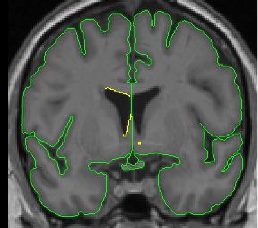
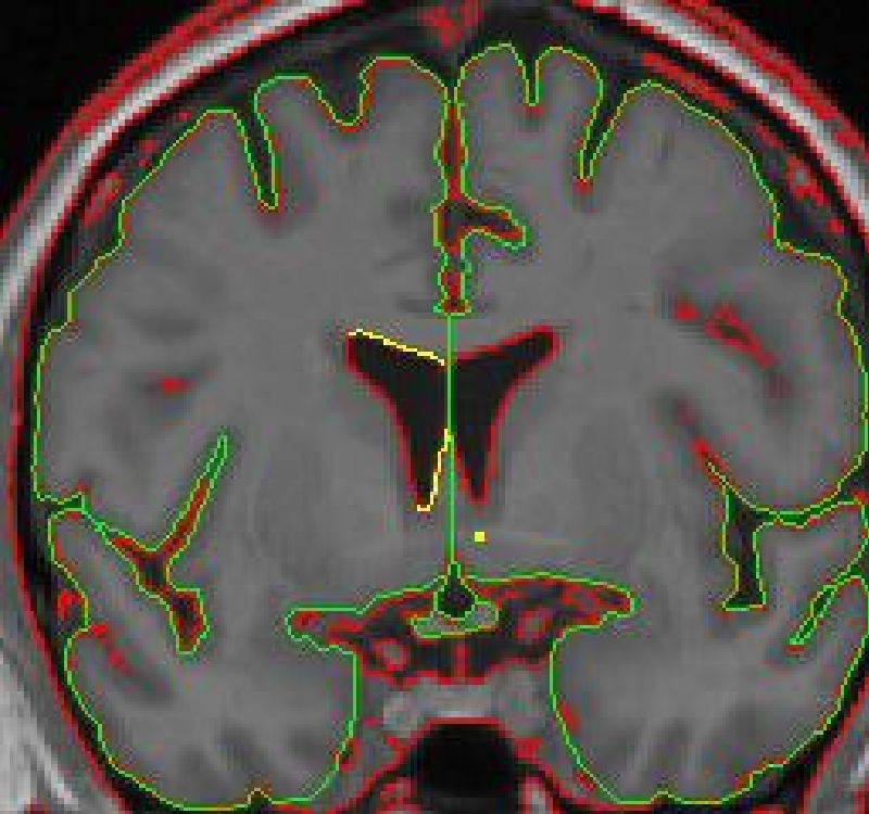
 Part
    II- Lateral ventricles with caudate present
Part
    II- Lateral ventricles with caudate present
  When the caudate is present two histograms are needed to define the two different
  borders of the ventricle.
 
    
 
 
     
 
    
  5. You may need to manually connect your "saved" contour to the new
  contour. By convention, in cases in which the caudate is present, include the
  most inferior extent of the CSF/white matter border as the lateral ventricle
  border, even if that necessitates drawing a short line from it to the CSF/gray matter
  border.
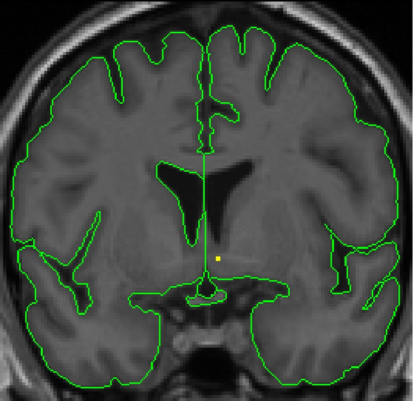
Part III - Posterior portion of lateral ventricle
  Make sure the lateral ventricle is actually a ventricle, rather than a deep
    sulcus. To do this, look in other planes using the projection lines. There
    should be white matter between ventricle and the gray matter. Lateral ventricle
    can disappear for a few slices, and then re-appear.
© 2005 Neuromorphometrics, Inc. All rights reserved.