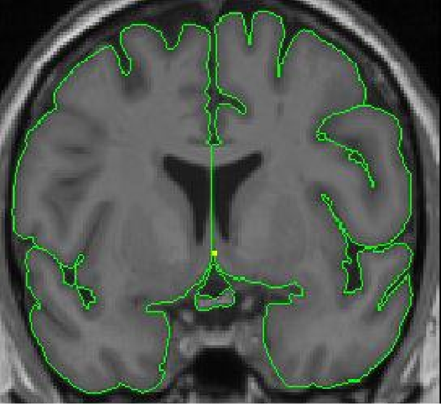
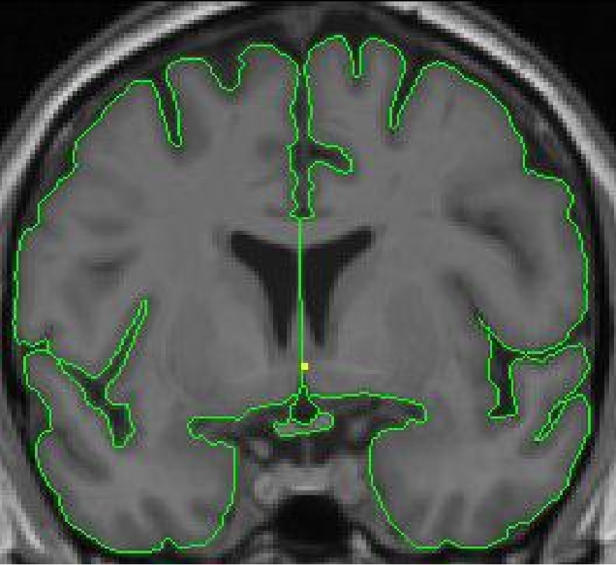
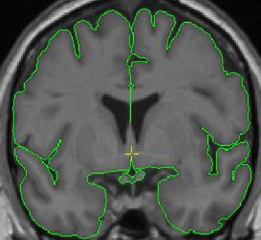
General Description
  The optic chiasm contains the crossed and uncrossed white matter fibers of
    the opticnerves as well as the surrounding gray matter (e.g. the suprachiasmatic
    nucleus).
  



Segmentation Procedure
The outline for the optic chiasm is created using the intensity contour function ( press c) and manual drawing. Start segmenting the optic chiasm, from anterior to posterior, on the first slice it becomes the inferior border of the third ventricle. This is in the proximity of the coronal slice containing the anterior commissure.
© 2005 Neuromorphometrics, Inc. All rights reserved.