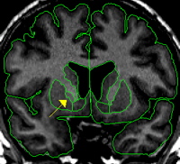
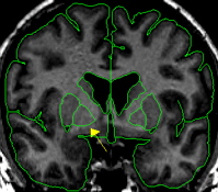
| General Description  In the coronal view the pallidum resembles a rounded triangle that continues off the putamen. The pallidum starts anteriorly as a small triangle and reaches its largest extent in its most medial slices and then dwindles to a small triangle again in the most posterior slices. The pallidum is essentially surrounded by white matter except for the lateral border which is the putamen. The putamen and pallidum are separated at this border by a thin strip of white matter called the lateral medullary lamina. Medially, pallidum is difficult to discern from the surrounding white matter because although it is gray, in terms of its intensity, its darkness is frequently fainter than putamen.  Procedure | |
|  | Segmentation  
 | 
|  | |
Labeling 
The final outline should be labeled "pallidum."
© 2005 Neuromorphometrics, Inc. All rights reserved.