General Description
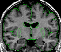
|  | The putamen is a subdivision of the lenticular nucleus (the other division is the pallidum). The lenticular nucleus from the axial view resembles a rounded triangle that is divided into two major sections. The putamen is the lateral part of this triangle.The putamen starts small and ends small in the coronal view. The putamen quickly grows to its greatest size in the middle and in the medial posterior portion it closely resembles a goldfish shape. The putamen lies lateral and partially anterior to the thalamus. It is bordered laterally, superiorly, and inferiorly by white matter. The putamen is usually bordered medially by the pallidum. When the pallidum is not yet present or has already disappeared the putamen is bordered medially by the internal capsule. | |
| Procedure Segmentation  
 It is important not to include the claustrum in the putamen; this is the strip of tissue bordering the lateral edge of the putamen. Often the putamen can be extracted at the same time as the caudate especially in the area where they are connected by the nucleus accumbens. The histogram of the caudate, in many cases, is close to what you want for the putamen as well. After extracting the caudate, before deleting the remaining red lines, you can often go immediately into the intensity contour function and adjust them to fit the putamen.  This should be done separately for each hemisphere. | ||
|  |  |  | 
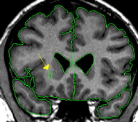
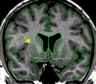
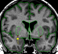
| Part II - Blood vessels There is often a blood vessel near the inferior border of the putamen, this should not be included as part of putamen. The vessel should be extracted separately using a contour line and labeled "vessel." The vessel will serve as at least a portion of the inferior border. | ||
|  | ||
| Labeling The final outline should be labeled as "putamen," and any blood vessels extracted should be labeled as "vessel." | ||
© 2005 Neuromorphometrics, Inc. All rights reserved.